
I was lucky enough to have been blessed with pretty nice teeth. I didn’t need braces or treatment as a teenager and yet they are remarkably straight, so much so that I’m often asked if they are veneers. My big downfall was that I never looked after them well enough as a kid which coupled with too much sugar has left me with one too many fillings. Fillings don’t bother me too much though as from you can’t really see them.
The thing that does bother me is the colour of my teeth. Even though they have been always been pretty white (people often compliment them) they never looked quite bright enough for me. I don’t smoke, and don’t drink or eat much in the way of heavily coloured foods so they don’t pick up too much staining. I’d never say no to a little boost though so was delighted recently when Philips Zoom got in touch and asked me to try out their professional whitening treatment.
I went along to the Kalyani Dental Lounge in Glasgow for the treatment (you can find your nearest clinic on the Philips Zoom website) where I met Dr Ambigai Jeyabalan and her fantastic team. Before the whitening treatment begins they need to take some before images and then some impressions of your teeth. This is not the most pleasant experience but it only lasts a couple of minutes and is worth it as they use these to make up some moulds for you to take home with you and try the home whitening kit.

Next up was a really thorough scale and polish to remove any nasty plaque or grime and to ensure that you get the best results from the process. The whitening procedure itself is performed in a several rounds (depending on what you need) so can take over an hour all in so make sure you take your headphones and some good music with you to help pass the time. Wearing the mouth guard ( which exposes your teeth and protects the gums) is not the most comfortable thing in the world but it is a necessary part of the procedure and is more than worth it when you see the results.
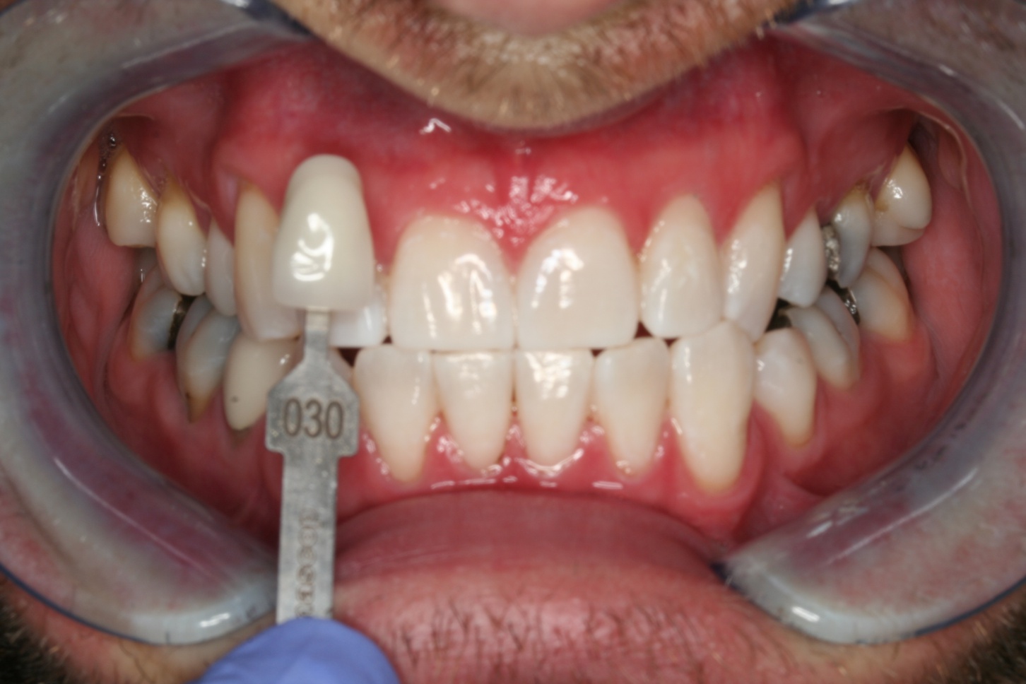
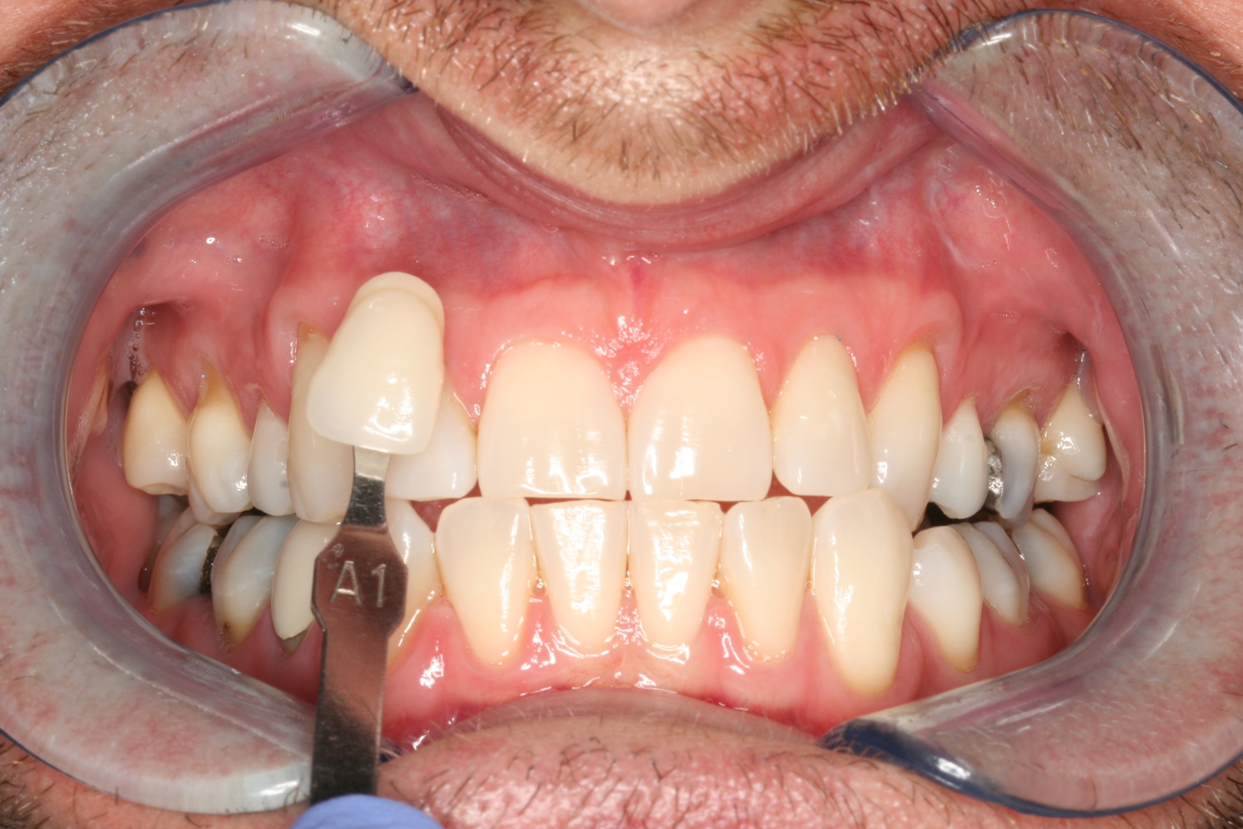
Before we started the dentist was pretty impressed with the natural colour of my teeth so had anticipated a really good result and she was definitely right. I went from a 030 colour scale up to a A1 which is close to the colour you could expect if you got some porcelain veneers. Pretty impressive indeed.
The great thing about Philips Zoom whitening is that you get a home kit to take away with you so that you can give yourself a little top up if you wish. I’ve yet to use this yet though as I was so pleased with the result of my initial treatment. It’s always handy to have for the future though. You can read more reviews about Zoom teeth whitening here on Dentaly.
On the left you can see my teeth before the Philips Zoom treatment at Kalyani Dental Lounge and on the right you can see my after shot:
You can find our more about Philips Zoom whitening and locate your nearest clinic over on the Philips website.
Disclosure: I received this treatment complimentary for the purposes of this review however please be assured that all of the words are my own honest views and opinions of the service.


We can see in your photos before and after that your gum also got more brighten